DICOM Viewer

DICOM Viewer 官方版 v2025.2

软件大小:7.74MB
软件类型:国产软件
软件语言:简体
软件授权:免费软件
软件分类: 其它行业
支持系统:

      DICOM Viewer官方版是一款专为医学行业打造的数字成像软件。DICOM Viewer最新版软件提供了所有必要的工具来处理diagnostically-accurate医学成像数据,允许用户存储、打印和共享数据。通过DICOM Viewer软件用户可以调整图像参数,以及查看和理解病人的数据。

软件介绍

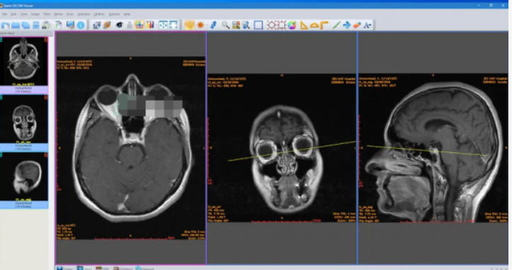
      DICOM Viewer是一款免费的dicom图像浏览器软件,专用于浏览dicom格式的医学影像,可以很方便地导入dicom影像,并对影像进行观察和信息浏览,同时还提供了多种dicom影像操作工具,例如修改页面布局、标记及测量、修改窗宽窗位、Pan、Zoom等。

截图

功能介绍

      厉害的DICOM检查器;

      易于运用与本机Windows外观和感受;

      兼容一切格局(CT, MR, NM, US, XA, MG, CR等),一切的制造商和一切的DICOM 3和NEMA 2文件类型。

      一切字符集的拥有(拉丁语,中文,日语,韩语,斯拉夫语,希腊语,等);

      内插(光滑)缩放和初级缩下班具(如静态缩放、缩放窗口);

      图象标的目的(翻转,扭转);

      正交多立体重建(正交MPR);

      拥有穿插参考线;

      拥有超声区域校准模块(校准超声丈量);

      拥有JPEG,JPEG2000,TIFF,PNG和BMP图象格局;

      基于标签的DICOM文件标签比力;

      成立了以十六进制DICOM检查器;

      将文件/序列导出到html文件;

      向单个HTML文件导出序列;

      导出文件/序列到PNG / BMP文件;

      将DICOM头文件导出到文本文件;

      基于标签的DICOM文件标签比力;

      联机,辨别大小写帮忙;

      系列之间的同步帧视图;

      串连之间的同步级窗口;

      串连之间的同步视窗;

      丈量东西(间隔、角度、折线);

      拥有笼盖层;

      正文文本和箭头。

软件特色

      1、储存:该软件的储存服务是用在传送影像或是将其他的持续物件(persistent objects)(例如整理过的病历报告)传送到PACS的工作站。

      2、储存确认:该软件的储存确认是一种为了确定影像储存在特定地方(可能是硬盘或是其他的支援媒界,如烧在光碟内)的服务,此等级的用户端(机器设备或是工作站等)用从服务供应器(储存站或原始端)发出的资讯来确认,以确保原始端的影像可以放心地删除了。

      3、影像获得:此项功能让工作站可以找到影像列或是其他的PACS物件,如此便可取得影像。

      4、工作列表:此项功能让一个图像设备(a modality)可以以电子方式接收到病人的详细信息和计划对此病人进行的检查,以此避免重复输入信息以及在重复输入信息中产生错误。

      5、原始端执行进程记录:原始端工作列的附加服务,DICOM Viewer可以让原始端送出有关此项检查的其他资料,如获得的影像数还有剂量的输出数等等。

      6、打印:该软件的打印服务是将影像传送至印列机,大部分是输出x光影像,有一套标准的校正程序,以确保在不同的显示装置(包括数位复制)中仍保有一致性。

      7、离线支援:该软件限制应用上的支援设备名称有8字元的名字(很多人都错误地用8.3,但那是不合法的),研发者没有小心地注意这个限制通常都是问题产生的来源,要和旧的系统久远保持相容性是相当重要的,该软件也改修了档案定位的方式,就是DICOMDIR档案,它提供了媒体形式的导引和结论等资讯。

DICOM Viewer下载地址

Windows版下载

普通下载地址

百科推荐

下载排行

近期更新

DICOM Viewer

DICOM Viewer